让“不可治”成为“可治” 为晚期复发妇科肿瘤患者点亮生命希望
2026-04-14 15:47:54 来源:第一健康报道
分享到:
链接已复制
传播正能量 创造新价值;健康中国新闻发布与传播平台,专注新时代健康产业品牌推广与传播,是国务院医改领导小组公开表彰媒体。

——专访复旦大学附属妇产科医院尧良清教授


聚焦健康中国  妇科(第一健康报道上海 记者康梅)


在我国,每年妇科恶性肿瘤新发病例超20万例,其中卵巢癌约七成患者确诊时已步入晚期,治疗后复发、转移难题始终困扰着临床诊疗,也让无数患者陷入绝望。而在复旦大学附属妇产科医院,妇科肿瘤中心副主任尧良清教授带领团队,深耕妇科肿瘤临床与科研数十载,以“规范为基、综合为要、个体化为先”的诊疗理念,突破晚期、复发及难治性妇科肿瘤治疗瓶颈,用一场场贯穿全病程的生命接力,让众多濒临绝境的患者重获生机。


 

深耕妇瘤领域数十载 医术与学术双轨领航


尧良清教授是医学博士、主任医师、博士生导师,同时担任中国抗癌协会中西整合卵巢癌专委会副主任委员、上海市抗癌协会妇科肿瘤专委会副主任委员等多项重要职务,是复旦大学卵巢癌团队首席专家、上海市卫生系统学科带头人。长期以来,他专注于妇科恶性肿瘤的临床与基础研究,在复杂疑难妇科肿瘤手术、个体化综合治疗及全程管理领域积累了深厚造诣,领衔团队攻克多项临床难题,达到国际前沿诊疗水平。


他所在的复旦大学附属妇产科医院妇科肿瘤中心,更是国内领先的高水平诊疗平台。中心拥有181张床位、完备的学术人才梯队,年收治妇科恶性肿瘤5000余例,居上海市首位,妇科IV级高难度手术量连续三年位居全国第一。依托强大的学科支撑,尧良清教授与团队不断推进前沿技术转化与诊疗理念创新,为复杂疑难妇瘤患者筑牢医疗防线。


图片1.png 

 

晚期≠绝境 复发≠放弃 刷新诊疗认知


面对妇科晚期肿瘤诊疗困境,尧良清教授坦言,卵巢癌、宫颈癌、子宫内膜癌等常见妇科恶性肿瘤,早期症状极为隐蔽,加之女性筛查意识不足、规范筛查覆盖率有限,导致部分患者确诊时已出现广泛转移。而肿瘤复发转移后,病灶多弥漫分布于盆腹腔、肝脾、颈部等多个部位,不仅手术难度呈几何级增长,术后耐药、反复复发等问题,更是临床治疗的核心难点。

 

“但晚期绝不等于被判死刑,复发也不等于无路可走。”尧良清教授始终坚信,随着现代医学技术的迭代升级,通过规范诊疗、多学科协作与个体化方案优化,越来越多晚期复发患者能够实现长期生存,甚至收获高质量生活。这一信念,也成为团队攻克疑难病例、不断突破治疗边界的核心动力。


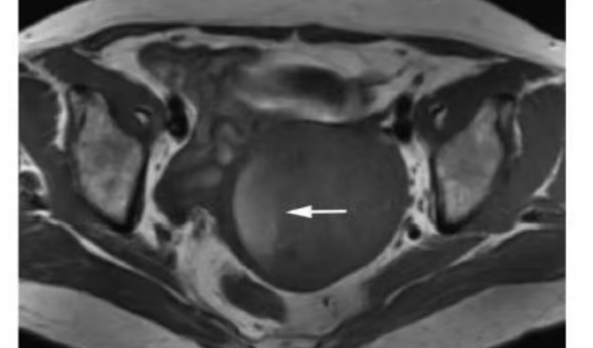
图片2.png 

中晚期宫颈癌典型MRI表现

 

全病程系统管理 以综合治疗续写生命奇迹


在尧良清教授的诊疗体系中,妇科肿瘤治疗从来不是单一手段的局部应对,而是贯穿全病程的系统管理。他带领团队打破传统治疗局限,构建起手术、化疗、放疗、靶向、免疫及新型ADC药物科学衔接的综合治疗模式,依托科室强大的MDT多学科协作平台,为每一位患者量身定制诊疗方案。

 

其团队凭借精湛技术,可独立开展肝、脾、颈等全身转移病灶切除手术,广泛转移晚期或复发卵巢癌减灭术满意率接近90%,跻身国际领先行列;同时在国内率先开展复发宫颈癌超高难度LEER手术,首创宫颈癌手术“血管优先理论”,重新定义“阴道旁”概念,获得国际医学界高度认可,突破多项妇科手术禁忌,为晚期复发肿瘤患者打开治疗新窗口。

 

临床诊疗中,一个个成功病例印证了团队的硬核实力。一位IVA期晚期卵巢癌患者,初诊时伴盆腹腔广泛转移与恶性胸腔积液,团队通过规范减瘤手术实现无肉眼残留病灶,结合基因检测制定全程方案,患者首次无进展生存期长达23个月。即便后续经历两次复发,团队根据分子特征及时调整方案,采用新型ADC药物成功控制病情。另一位远期复发伴多部位转移的宫颈癌患者,经多学科综合手术及放化疗干预,已实现5年以上无瘤生存。


图片3.png 

 

兼顾生存长度与生活质量 医者温度守护患者尊严


面对复杂复发肿瘤,尧良清教授始终坚持:既要控瘤,更要保住生活质量。而连接二者的桥梁,正是多学科评估与个体化综合治疗。团队在诊疗中坚守三大原则:手术精准不过度,在彻底切除肿瘤的前提下最大限度保护正常组织;方案个体化,选用最适配患者体能与既往治疗史的方案;全程关注生活质量,将疼痛管理、营养支持、心理辅导贯穿治疗始终。

“每一次决策都要反复追问,如何让患者活得既有长度又有质量。”这是他对团队的要求,也是身为妇科肿瘤医生的终身课题。正是这份严谨与温情,让许多看似“走到尽头”的患者,重新迎来生命转机。

 

筑牢健康防线 早筛早防是最佳策略


从业多年,尧良清教授既深耕临床攻克技术难关,又潜心科研推动学科发展,先后主持包括国家级等20项科研课题,研究经费超千万元,在国际权威期刊发表多篇高影响力论文,同时培养近30名硕博研究生,为妇瘤领域输送大批专业人才。

 

针对女性妇科肿瘤防控,他郑重呼吁:普通女性每年应完成妇科超声、宫颈癌筛查,及时关注不规则出血、腹胀等异常信号;有肿瘤家族史的高危人群,需尽早开展遗传咨询与基因检测,定期深化筛查,真正做到早筛、早诊、早治。


图片4.png 


从突破手术禁区,到创新诊疗方案;从优化全程管理,到传递生命希望,尧良清教授用专业与坚守,不断拓展晚期妇科肿瘤的治疗边界。未来,他将继续带领团队深耕妇科肿瘤诊疗领域,以更精准、更规范、更有温度的医疗服务,为更多女性患者驱散病痛阴霾,让晚期复发妇科肿瘤的“不可治”真正成为“可治”。


(责编 薄荷)

标签:
妇科肿瘤癌症
推荐阅读